Dr. & Prof. Peibiao Zhang, Male, 47 years old, the group leader of regenerative medicine materials group, Changchun Institute of Applied Chemistry(CIAC). He received Ph.D in Jilin University in 2003. Then he worked as Postdoc in CIAC during 2003-2005. He became Associate Prof. from 2006 to 2012 in CIAC. Then he became a Professor From 2013 and the group leader from 2014 in CIAC. Now he is a member of the Committee of Biological Composite Materials, Chinese Society for Composite Materials, and Editorial Board of Chinese Journal of Injury Repair and Wound Healing.
Research areas and Achievements
1、Design, synthesis and modification for new biopolymers.
2.Interaction of biopolymer interface with cells or tissues, and their molecular mechanism.



Human condrocytes /rabbit osteoblasts grew on the surfaces of g-HAP/PLGA nanocomposites (Biomaterials, 2005,26, 6296-304; Acta Biomaterialia 2009;5:2680-9)
RGD conjugates for cell adhesion and bone tissue engineering (
Biomacromolecules 2011; 12 (7): 2667-80 )
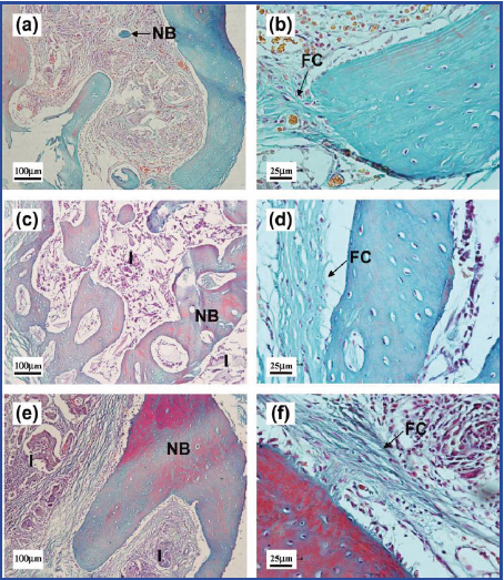
3.Biodegradable nanocomposites for bone repair.



Biomaterials, 2009, 30, 58-70
Biomacromolecules 2011; 12 (7): 2667-80
4. Tisse engineering scaffolds.
Biomaterials, 2009, 30, 58-70
(中國專利,申請號:
5. Controlled release of drugs for tissue regeneration.

Materials Science & Engineering C 2015, 46: 158-165,IF: 2.409
RSC Advances, 2015, 2015, 5, 96725 – 96732
6. Conductive polymers and biological electrol signals for tissue engineering.
Rat C6 glioma cells /neuronal pheochromocytoma PC-12 cells /grew and differentiated on conductive polymer PLAAP and AP-c-CS ( Biomaterials 2007,28:1741–1751; Biomacromolecules 2008, 9, 850-8; 2637-44)
7. Biodegradable microcarriers for large-scale cell proliferation.


Macromol Biosci. 2015,15(8):1070-80